Your Superior mesenteric artery thrombosis images are ready. Superior mesenteric artery thrombosis are a topic that is being searched for and liked by netizens now. You can Find and Download the Superior mesenteric artery thrombosis files here. Download all free photos and vectors.
If you’re looking for superior mesenteric artery thrombosis images information connected with to the superior mesenteric artery thrombosis keyword, you have come to the right site. Our site always gives you hints for downloading the maximum quality video and picture content, please kindly hunt and find more informative video articles and images that match your interests.
Superior Mesenteric Artery Thrombosis. When you have mesenteric venous thrombosis MVT you have a blood clot in a vein around where your intestines attach to your belly. 63 Occlusion of the SMA may be more common than previously believed. Mesenteric venous thrombosis MVT is a blood clot in one or more of the major veins that drain blood from the intestine. Thrombosis of the superior mesenteric artery whether in-situ or embolic causes an abrupt cessation in the primary blood flow to the majority of the small bowel as well as typically the ascending colon.
The Anatomy Of The Superior Mesenteric Artery Download Scientific Diagram From researchgate.net
Acute superior mesenteric artery embolism ASMAE the main subtype of AMI accounts for 40 to 50 of the AMI cases. This is called ischemia. Case contributed by Dr Ian Bickle. 63 Occlusion of the SMA may be more common than previously believed. SMA occlusion leads to a reduction of cardiac index CI along with increases in the arterial-portal vein lactate gradient and splanchnic oxygen extraction. However the occurrence of thrombosis after the recovery from the COVID-19 is unusual with only one reported case in the medical literature so far.
Rarely the superior mesenteric artery presses against a renal vein or the duodenum causing potentially life-threatening problems.
The present report describes the first presumptive case of COVID-19-associated acute superior mesenteric artery thrombosis and acute intestinal ischemia. Superior Mesenteric Artery Obstruction. Mesenteric venous thrombosis MVT is a blood clot in one or more of the major veins that drain blood from the intestine. The severity of the injury. He denied having a fever or any respiratory symptoms. The superior mesenteric vein is most commonly involved.
Source: annalsofvascularsurgery.com
CASE REPORT A 55-year old man presented to the emergency department with nausea generalized abdominal pain and diarrhea. Symptoms vary based on severity but can be severely debilitating. Acute thromboembolic occlusion of the superior mesenteric artery SMA is a condition with a serious prognosis Acute mesenteric ischemia AMI is an uncommon occurrence and represents 01 of hospital admissions Despite considerable advances in medical diagnosis and treatments over the past four decades mesenteric. SMA occlusion leads to a reduction of cardiac index CI along with increases in the arterial-portal vein lactate gradient and splanchnic oxygen extraction. An uncommon thromboembolic manifestation in COVID-19 pneumonia Thromboembolism is a recognized complication in.
Source: researchgate.net
The remainder of the large and small bowel are normal. The superior mesenteric artery SMA is the most commonly affected vessel in the setting of atrial fibrillation see Figures 11-31 to 11-35. Rarely the superior mesenteric artery presses against a renal vein or the duodenum causing potentially life-threatening problems. Via the Superior Mesenteric Artery SMA may be the least effective since it requires long infusion times with thrombolytic agents which has been found to be associ-ated with an increased risk of bleeding 14 Fig. This compression causes partial or complete blockage of the duodenum.
Source: ncbi.nlm.nih.gov
The superior mesenteric artery thrombosis in association with COVID-19 has been reported in several case reports. Request PDF Superior mesenteric artery thrombosis and small bowel necrosis. A diagnosis of mesenteric and renal artery thrombosis with bowel infarction was made. The present report describes the first presumptive case of COVID-19-associated acute superior mesenteric artery thrombosis and acute intestinal ischemia. It is a severe and potentially fatal illness typically of the superior mesenteric artery SMA which provides the primary arterial supply to the small intestine and ascending colon1 The occlusion may occur due to in-situ thrombosis of the.
Source: researchgate.net
The bowel was dilated with mural thickening and with some gas in the bowel wall. AMI includes inadequate blood supply inflammatory injury and finally necrosis of the bowel wall and can occur as a result of arterial embolism arterial thrombosis mesenteric venous thrombosis and non-occlusive causes. Superior mesenteric artery syndrome SMAS is a digestive condition that occurs when the duodenum the first part of the small intestine is compressed between two arteries the aorta and the superior mesenteric artery. It is a severe and potentially fatal illness typically of the superior mesenteric artery SMA which provides the primary arterial supply to the small intestine and ascending colon. The remainder of the large and small bowel are normal.
Source: annalsofvascularsurgery.com
The bowel was dilated with mural thickening and with some gas in the bowel wall. Combining endovascular therapy with open surgery hybrid approach has been described in a modern series. In a population-based study using autopsy results the incidence was 86 per 100000 person years with a cause-specific mortality of. It is a severe and potentially fatal illness typically of the superior mesenteric artery SMA which provides the primary arterial supply to the small intestine and ascending colon. The superior mesenteric artery thrombosis in association with COVID-19 has been reported in several case reports.
Source: radiopaedia.org
The clot most often forms in a. Mesenteric artery thrombosis MAT is a condition involving occlusion of the arterial vascular supply of the intestinal system. This condition does not only increase the overall risk for thromboembolism but may also lead to mesenteric ischemia and acute mesenteric artery occlusion diseases associated with high morbidity and mortality. Rarely the superior mesenteric artery presses against a renal vein or the duodenum causing potentially life-threatening problems. In this article we shall look the anatomy of the superior mesenteric artery its anatomical.
Source: link.springer.com
It arises from the abdominal aorta and supplies arterial blood to the organs of the midgut which spans from the major duodenal papilla of the duodenum to the proximal 23 of the transverse colon. Mesenteric venous thrombosis MVT is a blood clot in one or more of the major veins that drain blood from the intestine. MVT is a clot that blocks blood flow in a mesenteric vein. AMI includes inadequate blood supply inflammatory injury and finally necrosis of the bowel wall and can occur as a result of arterial embolism arterial thrombosis mesenteric venous thrombosis and non-occlusive causes. When you have mesenteric venous thrombosis MVT you have a blood clot in a vein around where your intestines attach to your belly.
Source: thelancet.com
Mesenteric artery thrombosis MAT is a condition involving occlusion of the arterial vascular supply of the intestinal system. Acute thromboembolic occlusion of the superior mesenteric artery SMA is a condition with a serious prognosis Acute mesenteric ischemia AMI is an uncommon occurrence and represents 01 of hospital admissions Despite considerable advances in medical diagnosis and treatments over the past four decades mesenteric. Case contributed by Dr Ian Bickle. Rarely the superior mesenteric artery presses against a renal vein or the duodenum causing potentially life-threatening problems. In a population-based study using autopsy results the incidence was 86 per 100000 person years with a cause-specific mortality of.
Source: researchgate.net
This condition does not only increase the overall risk for thromboembolism but may also lead to mesenteric ischemia and acute mesenteric artery occlusion diseases associated with high morbidity and mortality. There are two such veins through which blood leaves the intestine. The present report describes the first presumptive case of COVID-19-associated acute superior mesenteric artery thrombosis and acute intestinal ischemia. Acute thromboembolic occlusion of the superior mesenteric artery SMA is a condition with a serious prognosis Acute mesenteric ischemia AMI is an uncommon occurrence and represents 01 of hospital admissions Despite considerable advances in medical diagnosis and treatments over the past four decades mesenteric. Mesenteric venous thrombosis MVT is a blood clot in one or more of the major veins that drain blood from the intestine.
Source: researchgate.net
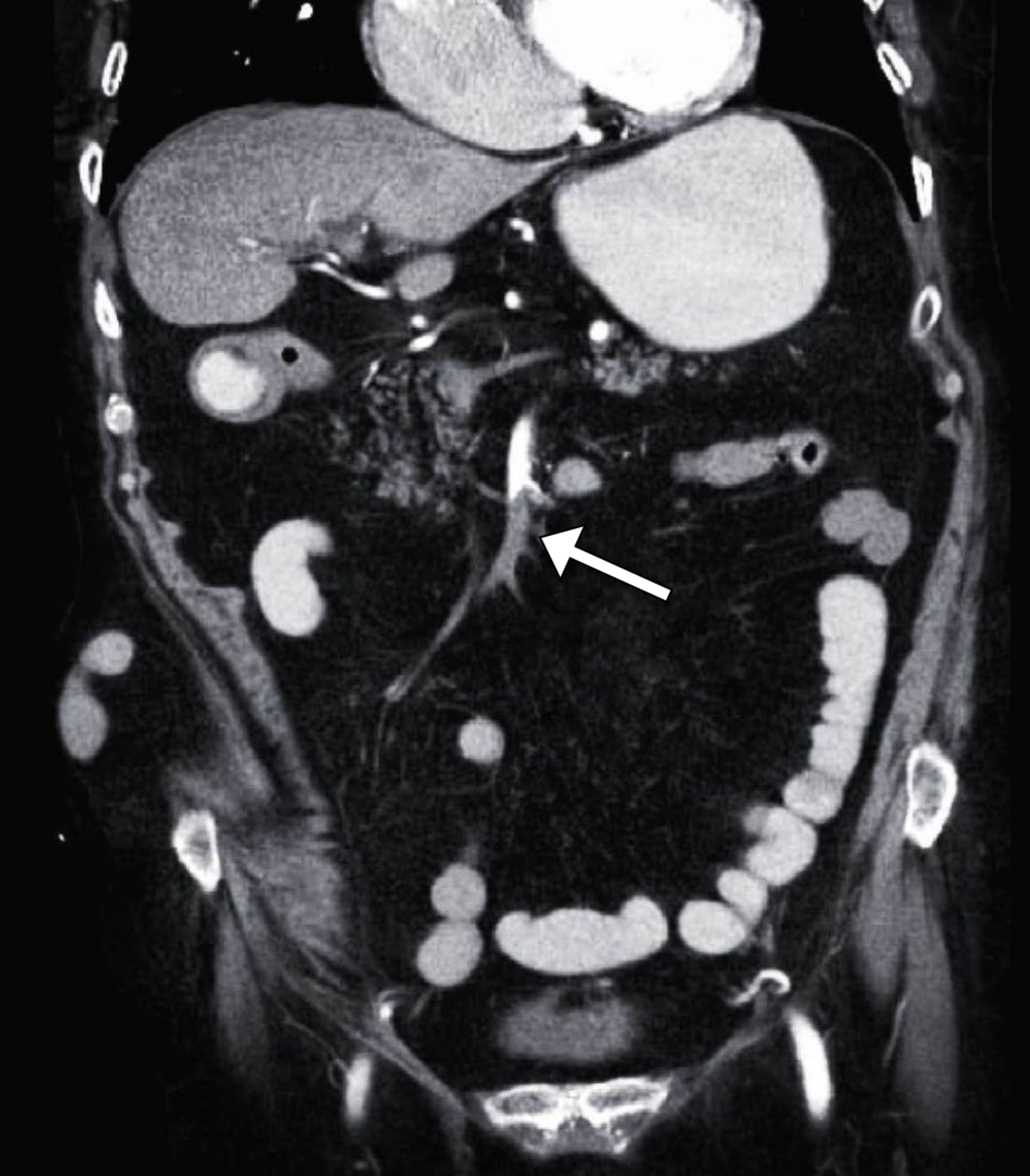
Superior mesenteric artery thrombosis with jejunal ischemia. CASE REPORT A 55-year old man presented to the emergency department with nausea generalized abdominal pain and diarrhea. This condition does not only increase the overall risk for thromboembolism but may also lead to mesenteric ischemia and acute mesenteric artery occlusion diseases associated with high morbidity and mortality. The remainder of the large and small bowel are normal. Rarely the superior mesenteric artery presses against a renal vein or the duodenum causing potentially life-threatening problems.
Source: mountsinai.org
Rarely the superior mesenteric artery presses against a renal vein or the duodenum causing potentially life-threatening problems. This compression causes partial or complete blockage of the duodenum. MVT is a clot that blocks blood flow in a mesenteric vein. The superior mesenteric artery SMA is a major artery of the abdomen. However the occurrence of thrombosis after the recovery from the COVID-19 is unusual with only one reported case in the medical literature so far.
Source: chennaivascularsurgeon.in
This disruption leads to malperfusion of the involved end organ leading to ischemia and ultimately infarction. It is a severe and potentially fatal illness typically of the superior mesenteric artery SMA which provides the primary arterial supply to the small intestine and ascending colon. When you have mesenteric venous thrombosis MVT you have a blood clot in a vein around where your intestines attach to your belly. This condition does not only increase the overall risk for thromboembolism but may also lead to mesenteric ischemia and acute mesenteric artery occlusion diseases associated with high morbidity and mortality. Mesenteric artery thrombosis MAT is a condition involving occlusion of the arterial vascular supply of the intestinal system.
Source: researchgate.net
Mesenteric artery thrombosis MAT is a condition involving occlusion of the arterial vascular supply of the intestinal system. When you have mesenteric venous thrombosis MVT you have a blood clot in a vein around where your intestines attach to your belly. There are two such veins through which blood leaves the intestine. Superior mesenteric artery thrombosis with jejunal ischemia. This disruption leads to malperfusion of the involved end organ leading to ischemia and ultimately infarction.
Source: westjem.com
The superior mesenteric artery SMA is a major artery of the abdomen. Mesenteric artery thrombosis MAT is a condition involving occlusion of the arterial vascular supply of the intestinal system. Mesenteric venous thrombosis can decrease the supply of blood to the tissues and cells of your digestive system. This disruption leads to malperfusion of the involved end organ leading to ischemia and ultimately infarction. Thrombus was seen in the superior mesenteric artery and renal vessels and infarction was noted in the kidneys.
Source: annalsofvascularsurgery.com
No evidence of free fluid. In this article we shall look the anatomy of the superior mesenteric artery its anatomical. The bowel was dilated with mural thickening and with some gas in the bowel wall. Thrombus in the proximal superior mesenteric artery. It is a severe and potentially fatal illness typically of the superior mesenteric artery SMA which provides the primary arterial supply to the small intestine and ascending colon1 The occlusion may occur due to in-situ thrombosis of the.
Source: cureus.com
63 Occlusion of the SMA may be more common than previously believed. Mesenteric venous thrombosis can decrease the supply of blood to the tissues and cells of your digestive system. Via the Superior Mesenteric Artery SMA may be the least effective since it requires long infusion times with thrombolytic agents which has been found to be associ-ated with an increased risk of bleeding 14 Fig. The superior mesenteric artery SMA is a major artery of the abdomen. SMA occlusion leads to a reduction of cardiac index CI along with increases in the arterial-portal vein lactate gradient and splanchnic oxygen extraction.
Source: sciencedirect.com
The superior mesenteric artery plays a vital role in keeping the digestive system healthy and functioning. Superior mesenteric artery syndrome SMAS is a digestive condition that occurs when the duodenum the first part of the small intestine is compressed between two arteries the aorta and the superior mesenteric artery. Case contributed by Dr Ian Bickle. The superior mesenteric artery plays a vital role in keeping the digestive system healthy and functioning. Mesenteric venous thrombosis can decrease the supply of blood to the tissues and cells of your digestive system.
Source: cmaj.ca
This compression causes partial or complete blockage of the duodenum. Case contributed by Dr Ian Bickle. Free fluid was noted but no aneurysm was seen. Mesenteric artery thrombosis MAT is a condition involving occlusion of the arterial vascular supply of the intestinal system. The superior mesenteric artery thrombosis in association with COVID-19 has been reported in several case reports.
This site is an open community for users to do sharing their favorite wallpapers on the internet, all images or pictures in this website are for personal wallpaper use only, it is stricly prohibited to use this wallpaper for commercial purposes, if you are the author and find this image is shared without your permission, please kindly raise a DMCA report to Us.
If you find this site helpful, please support us by sharing this posts to your own social media accounts like Facebook, Instagram and so on or you can also save this blog page with the title superior mesenteric artery thrombosis by using Ctrl + D for devices a laptop with a Windows operating system or Command + D for laptops with an Apple operating system. If you use a smartphone, you can also use the drawer menu of the browser you are using. Whether it’s a Windows, Mac, iOS or Android operating system, you will still be able to bookmark this website.





